CANAL DENTAL GROUP
5.0 (307 reviews)

CANAL DENTAL GROUP

LGBTQ+ friendly

About

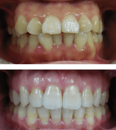
CANAL DENTAL GROUP, located at 196 Canal St 6th floor, New York, NY 10013, is a premier dental clinic dedicated to providing exceptional oral care services. Specializing in comprehensive dental treatments, our team of experienced professionals is committed to delivering high-quality, patient-centered care tailored to meet the unique needs of each individual. With an impressive 5.0/5 rating based on 307 reviews, CANAL DENTAL GROUP has established itself as a trusted name in New York’s dental community. While specific services are not listed, dental clinics like ours typically offer a wide range of treatments including preventive care, restorative dentistry, cosmetic procedures, and emergency dental services. Whether you require routine check-ups, teeth cleanings, fillings, crowns, or advanced treatments, our skilled dentists utilize state-of-the-art technology to ensure optimal results. At CANAL DENTAL GROUP, we prioritize your comfort and satisfaction, combining expertise with a welcoming environment. Don’t wait—schedule your appointment today and experience the difference of personalized dental care in the heart of New York City.

Services Offered

General Dentistry
Dental Cleanings
Fillings
Crowns
Root Canals
Teeth Whitening
Orthodontics
Oral Surgery

Contact Information

+1 212-966-3649 Visit Website
196 Canal St 6th floor, New York, NY, 10013
Get Directions on Google Maps