H. Chu Kim, DDS, MS, PA
4.2 (10 reviews)

H. Chu Kim, DDS, MS, PA

About

H. Chu Kim, DDS, MS, PA is a highly-rated periodontist based in Houston, TX, specializing in advanced gum disease treatment and comprehensive periodontal care. Located at 4543 Post Oak Pl Dr Ste. 108, this practice has earned a 4.2/5 rating from 10 reviews, reflecting a commitment to patient satisfaction and clinical excellence. As a periodontist, Dr. Kim focuses on diagnosing, preventing, and treating conditions affecting the gums and supporting structures of the teeth. While specific services are not listed, patients can expect expertise in areas such as periodontal disease management, dental implant placement, gum grafting, and cosmetic periodontal procedures. The practice likely offers personalized treatment plans tailored to individual needs, combining modern techniques with a patient-centered approach. With a strong emphasis on oral health and aesthetics, H. Chu Kim, DDS, MS, PA is an ideal choice for those seeking specialized periodontal care in Houston. Schedule a consultation today to address your gum health concerns and achieve a healthier, more confident smile.

Services Offered

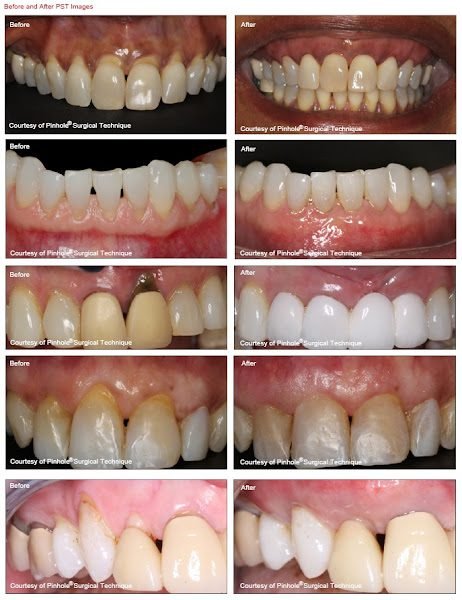
Periodontal Disease Treatment
Dental Implants
Gum Grafting
Laser Therapy
Bone Grafting
Cosmetic Gum Contouring
Maintenance Cleanings

Contact Information

+1 713-629-5170 Visit Website
4543 Post Oak Pl Dr Ste. 108, Houston, TX, 77027
Get Directions on Google Maps